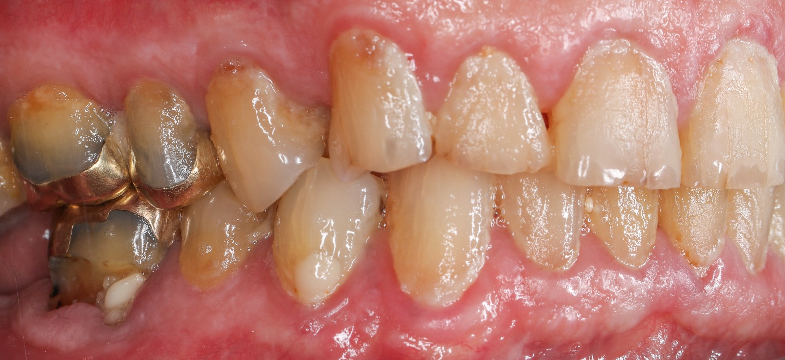
成功案例

每个案例都是独一无二,美观和功能之间的衡量也因人而异。我们尊重客户的意愿与实际需求,为其设计打造最舒适自然的微笑。

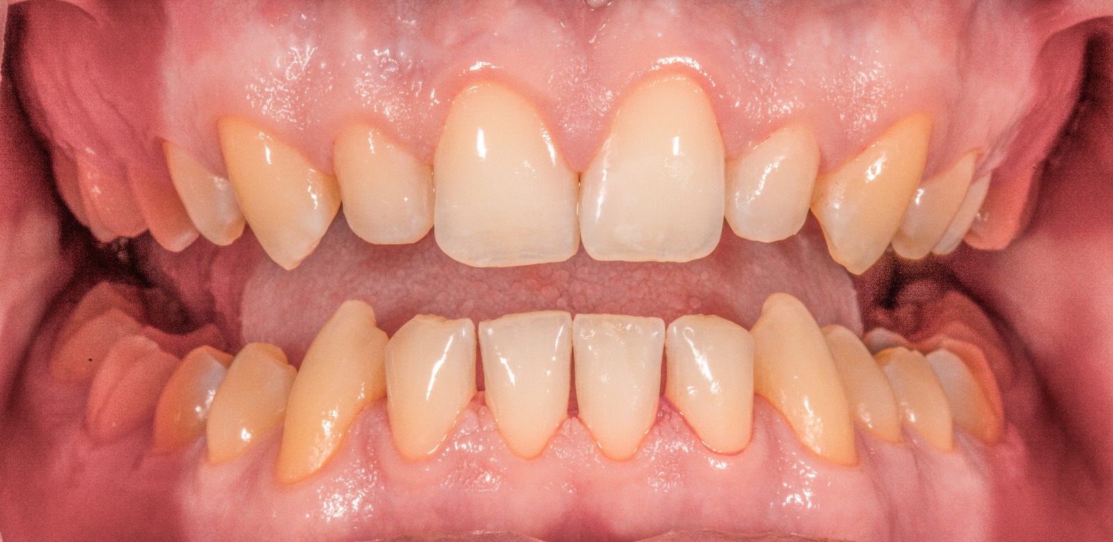
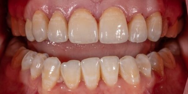
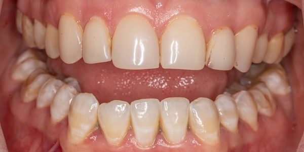
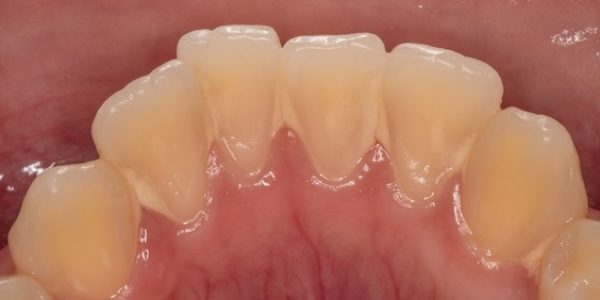
洗牙

Before
After
Before
After
Before
After
Before
After
Before
After

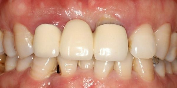
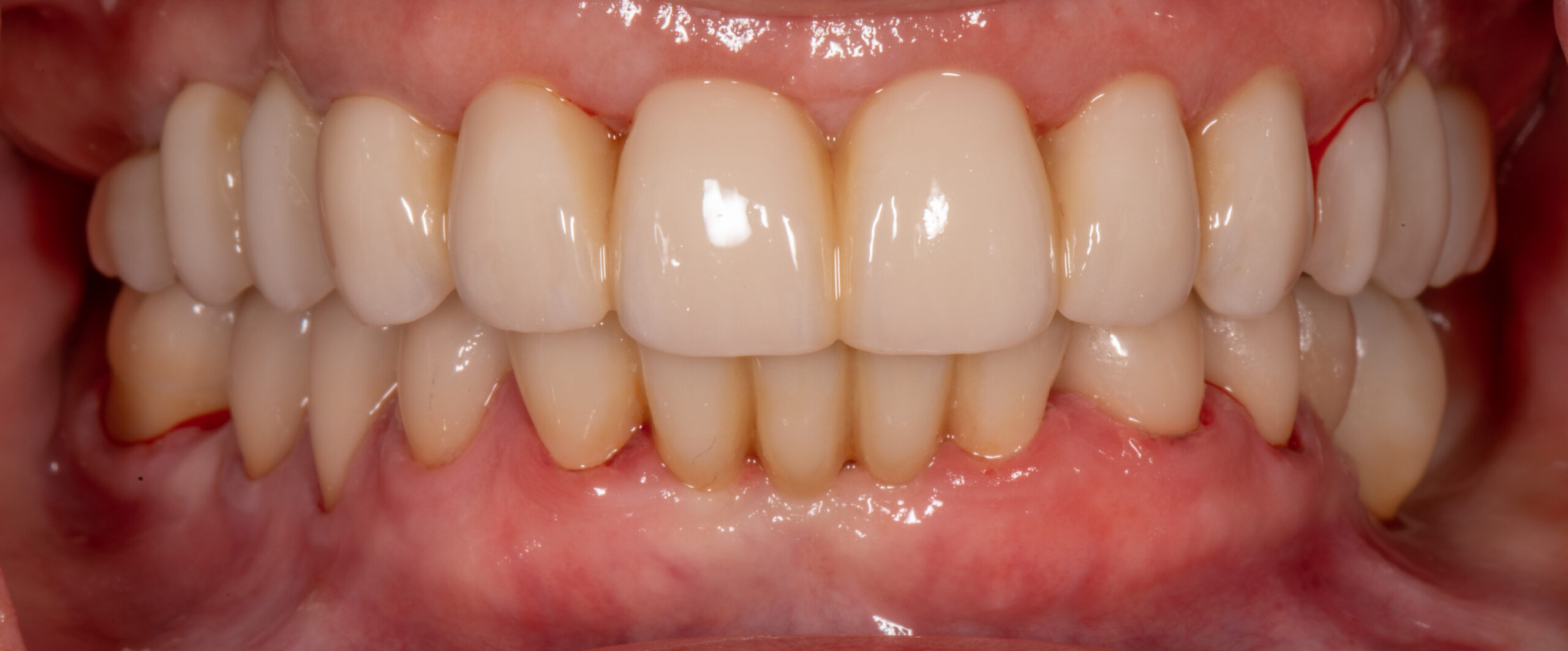
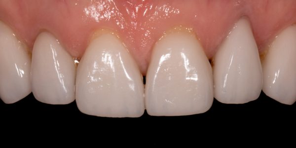
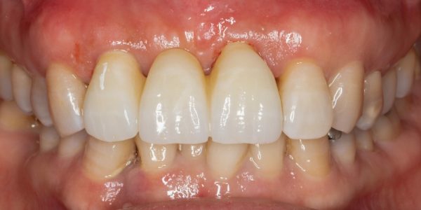
牙冠

Before
After
Before
After
Before
After

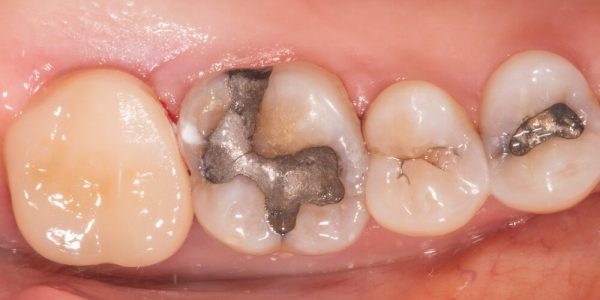
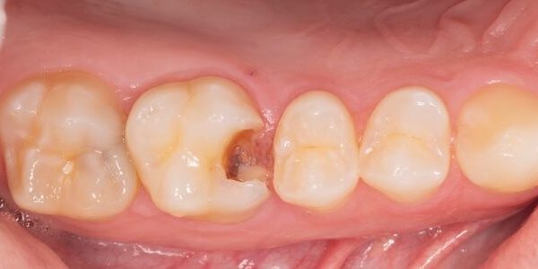
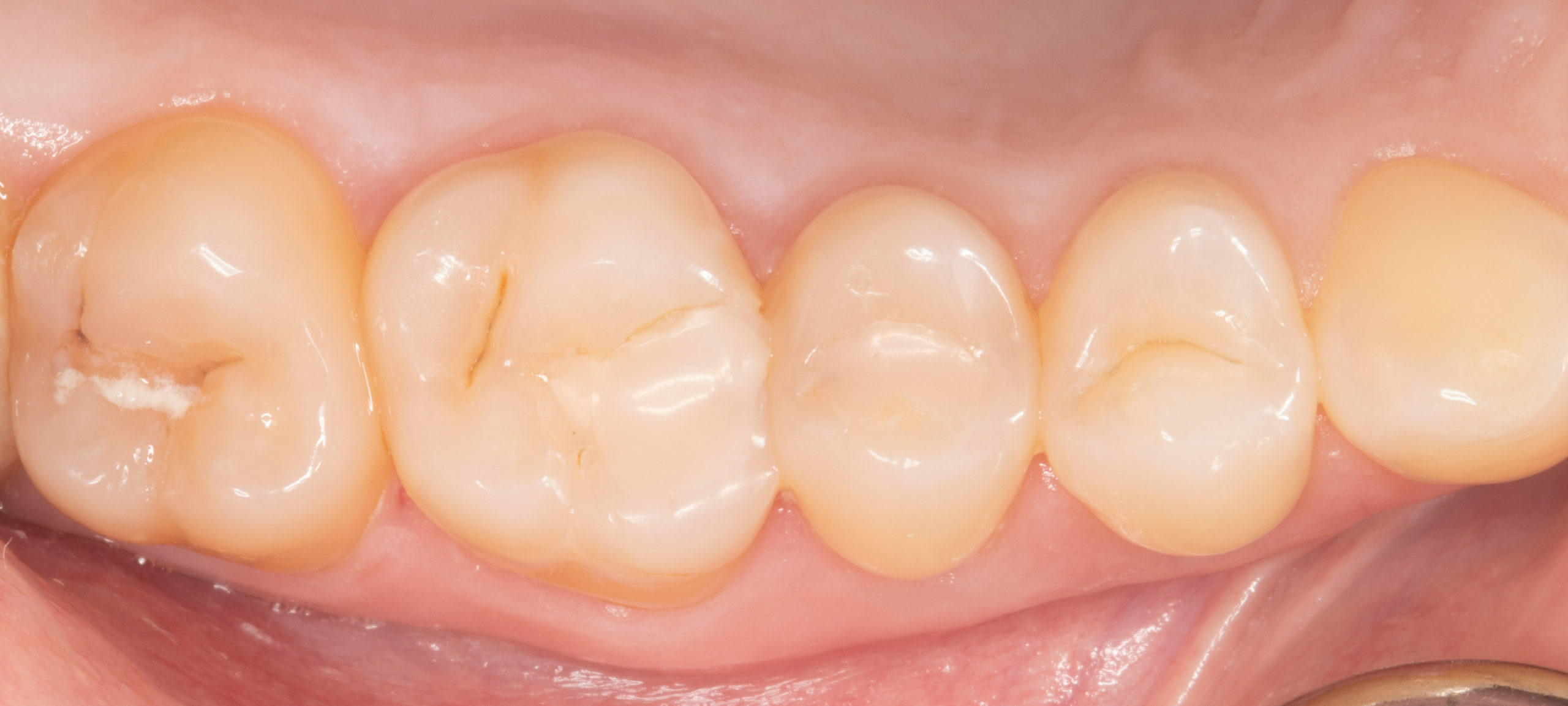
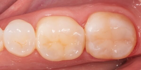
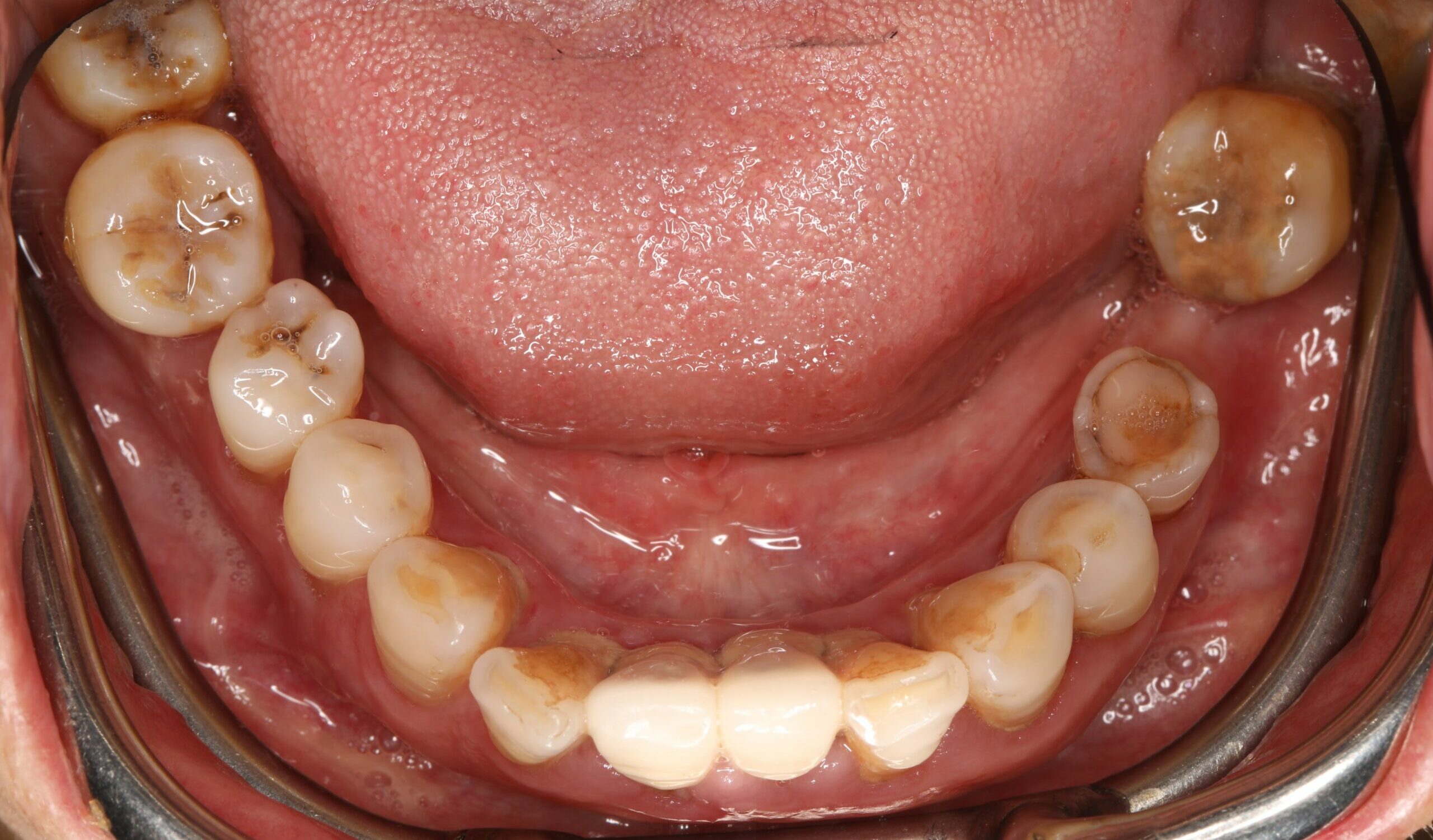
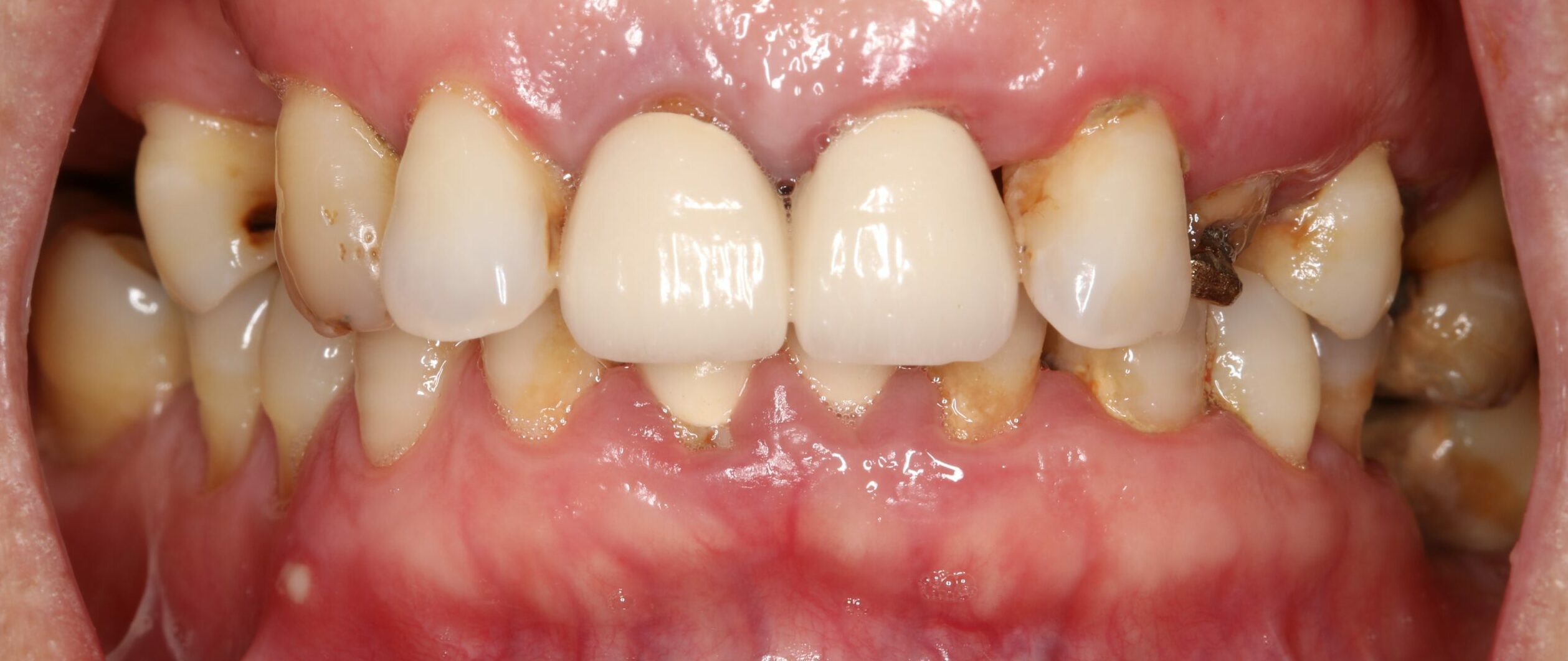
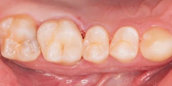
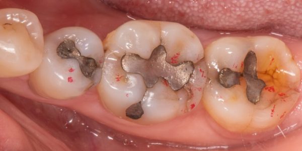
补牙 - 树脂复合材料填充修复

Before
After
Before
After
Before
After

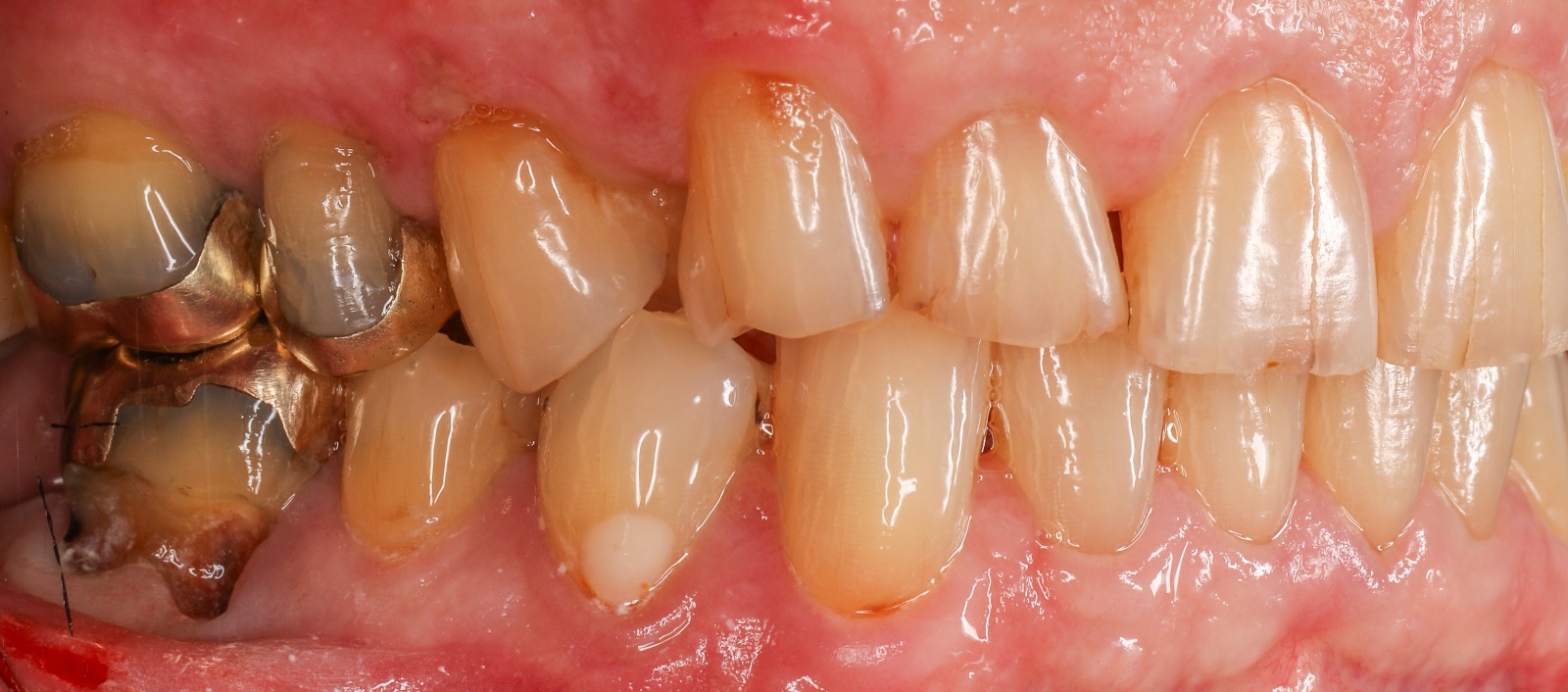
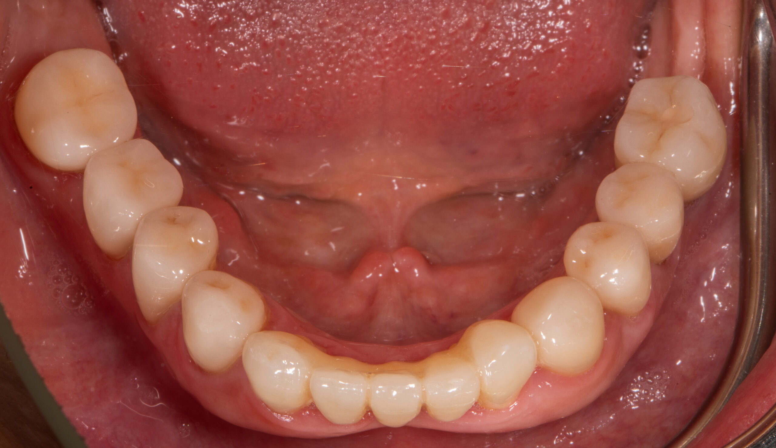
全口腔康复

Before
After
Before
After
Before
After

种植牙桥

Before
After
Before
After
Before
After

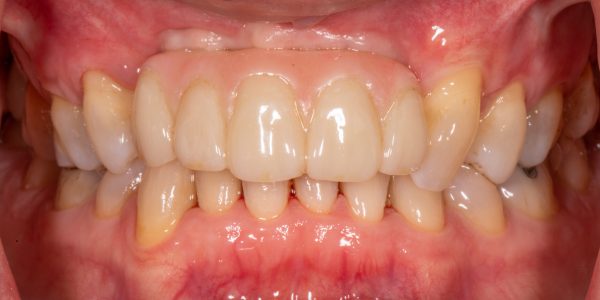
牙贴面

Before
After
Before
After
Before
After

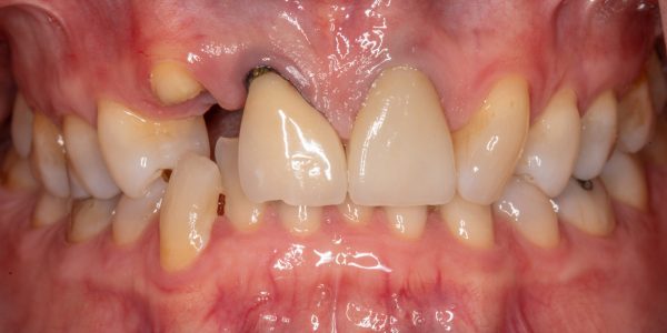
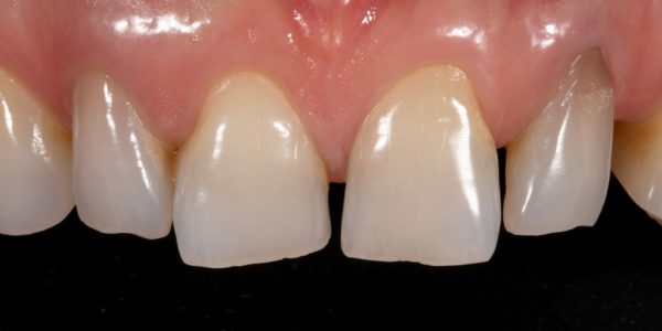
种植牙 - 牙冠安装

初始状态

植体手术置入

安装牙冠

Reception:

09 869 6478

Loong:

028 8520 5728

Peter:

022 437 3368

Florence:

028 8521 2019

Jay:

028 8521 3227