Take a look at what we do here at DBS
Cleaning
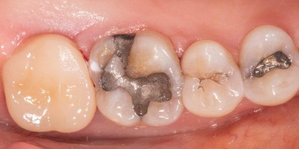
Before
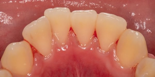
After
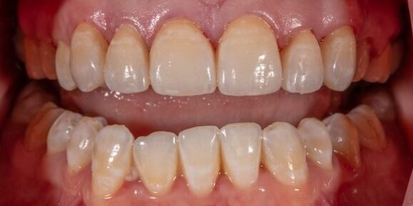
Before
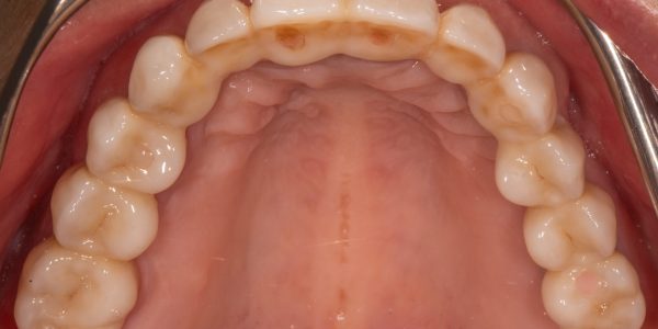
After


Before
After


Before
After


Before
After
Crowns
Before
After
Before
After
Before
After
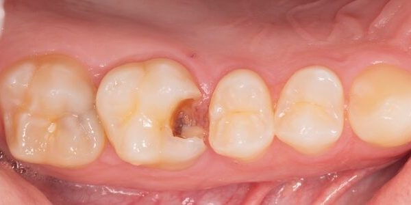
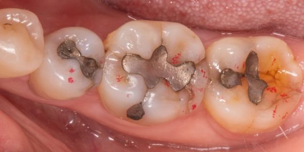
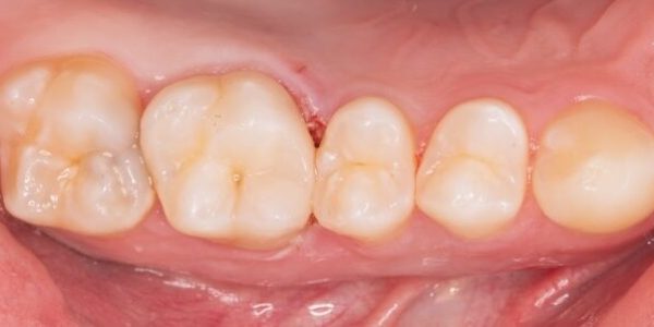
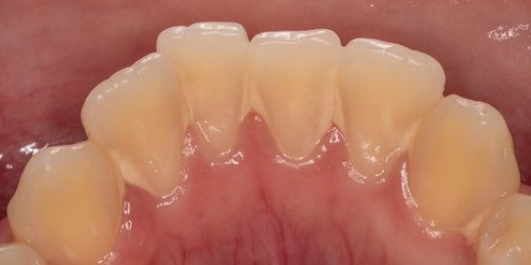
Composite Restorations


Before
After


Before
After
Before
After
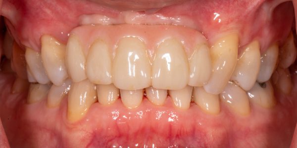
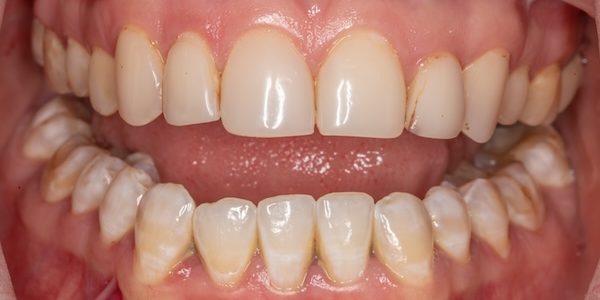
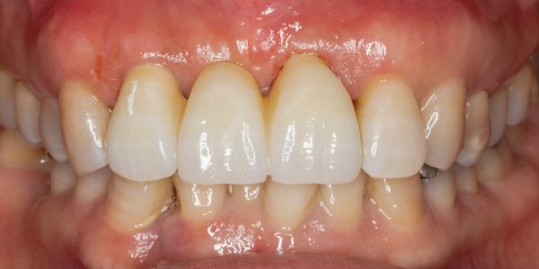
Full Mouth Rehabilitation


Before
After


Before
After
Before
After
Implant Bridge
Before
After
Before
After
Before
After
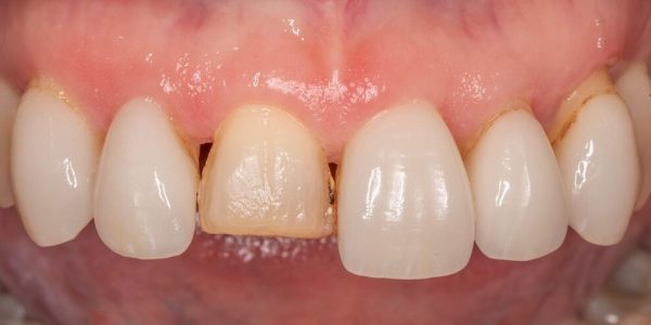
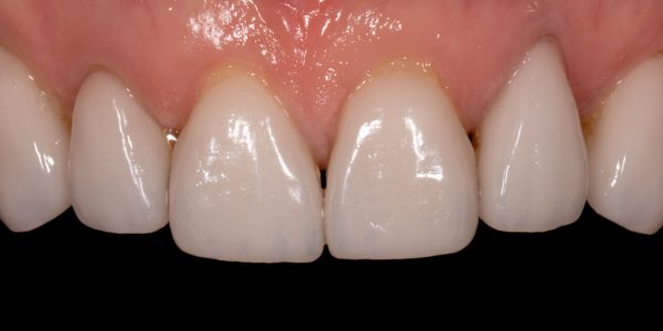
Veneers
Before
After
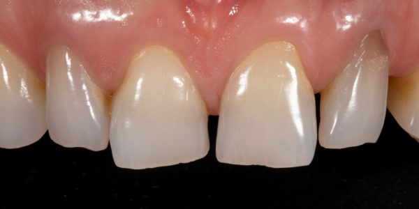
Before
After
Before
After
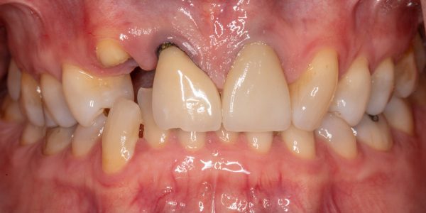
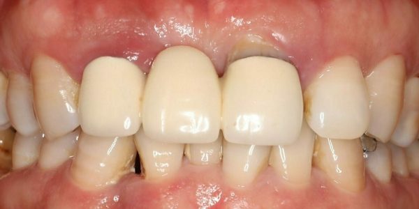
Implant Crown
Initial Situation
Surgical Implant Placement
Final Restoration